Mitral valve insufficiency僧帽弁閉鎖不全症について
Mitral valve insufficiency僧帽弁閉鎖不全症
当院では僧帽弁閉鎖不全症の
外科手術による根本治療を行っています。
僧帽弁閉鎖不全症とは
僧帽弁とは左心房と左心室の間にある弁のことであり、 心臓が全身に血を送り出す際に左心室の血液が左心房に逆流しないように閉鎖する大切な役割を果たしています。これが何らかの原因で完全に閉鎖できなくなると左心室から左心房に血液の逆流が起こり、これを僧帽弁閉鎖不全症といいます。
動物医療の向上から動物も高齢化が進み、心臓病にかかる犬は増加傾向にあります。犬の心臓病の中でもこの僧帽弁閉鎖不全症は最も多い心臓病として知られています。
犬の僧帽弁閉鎖不全症の多くは粘液腫様変性という変化により弁が腫れぼったくなり、弁を支える腱索が伸びたり切れたりする事によって起こり、一度変性した僧帽弁は生涯元に戻ることはありません。これまでは投薬による緩和的な治療が一般的でしたが、重度になるにつれ投薬のみでは限界を迎えてしまい、心不全を繰り返す子も少なくありませんでした。
しかし近年動物医療のレベルは向上し、 人医療のように手術によって僧帽弁を修復し、重度の心臓病の子も救命することができるようになりました。

僧帽弁閉鎖不全症の症状
犬の僧帽弁閉鎖不全症は何年も、あるいは一生涯に渡って臨床症状が出ないこともありますが、心臓に重度のうっ血が生じるほど進行した場合、運動耐性の低下と肺うっ血や肺水腫に関連した症状が認められます。
主な症状は以下のとおりです。
- 運動耐性の低下 (全力で走らない、散歩に行きたがらない、すぐに歩かなくなる等)
- 咳(興奮時・運動時に顕著)
- 睡眠時・安静時の呼吸数の増加
- 呼吸困難
- 失神・虚脱(一過性の脱力・ふらつき)
運動に関しては、多くの症例が高齢であることから、飼い主様が加齢性の変化と考えていて症状に気づかないことも多くあります。
肺水腫に至るまで進行した場合は、安静時の呼吸数が増加します(1分間に40回以上)。軽度の場合は、夜間や早朝にのみ呼吸数の増加や発咳が認められることもあり、咳は通常は湿ったような咳が認められます。
重度の肺水腫が急性に生じることもあり、その場合は明らかな呼吸困難が生じます。胸やお腹を大きく使うような努力呼吸や、横になれず座ったままあるいは伏せたままする呼吸が特徴的です。
失神や虚脱は、必発ではありませんが進行した症例で認められることがあります。僧帽弁閉鎖不全症から続発した不整脈、肺高血圧症、心房破裂などに起因して生じます。
僧帽弁閉鎖不全症の手術
人では僧帽弁閉鎖不全症は基本的に外科疾患であり、 進行性の場合比較的早期から手術が検討されます。犬における僧帽弁閉鎖不全症の手術は近年多く行われるようになってきたものの、未だ僧帽弁閉鎖不全症の治療は飲み薬が中心となっています。
しかしひどく変形し壊れた僧帽弁が飲み薬で本来の機能を取り戻すことは不可能であり、進行した僧帽弁閉鎖不全症を根本的に解決し、寿命を延長させるには僧帽弁を「物理的に治す」外科的な治療しかありません。
僧帽弁閉鎖不全症の手術は左心房を切開して壊れた僧帽弁を修復、切開した左心房を縫合するという一見単純なものですが、非常に繊細な手術のためこの手術を行うためには心臓を止める必要があり、その間の血液の循環を維持する必要があります。
それを可能にしてくれるのが心臓の働きをしてくれる人工心肺装置です。
また長時間安全に心臓を停止させるために心筋保護液, 体の代謝を抑えてエネルギーの消費を抑える低体温心臓麻酔法などを組み合わせることで心臓を止めることが可能となりますが, それらを安全に行うためには高度な技術や知識, 経験が必要となるため、この手術は専門性の高い獣医師によるチーム医療によって可能となります。
僧帽弁形成術は伸長、断裂した腱索を糸により再建する腱索再建術, 心臓が大きくなり拡大してしまった弁の周囲を巾着のように縫合して縮める弁輪形成術を中心とし, それぞれの弁の状況に応じていくつかの手技を組み合わせることにより逆流を防ぎます。

左図では粘液腫様変性による弁の肥厚を来した僧帽弁前尖が確認できます。
右図は腱索再建術にて弁尖と乳頭筋をePTFE縫合糸で結紮しているところです。
手術前後の
超音波検査画像
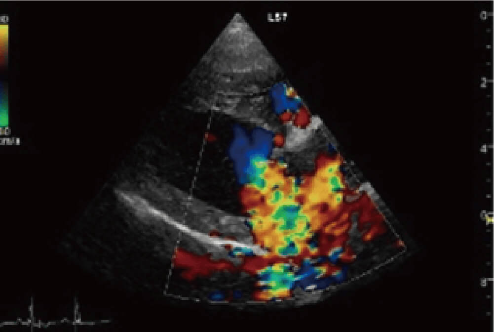
手術前


左図は僧帽弁形成術前の心臓超音波画像(右傍胸骨長軸四腔断面像)。Carpentier’s functional classification typeⅡの特徴である弁尖の逸脱が前尖・後尖共に見られます。またカラードプラ画像では重度の僧帽弁逆流がみられます。
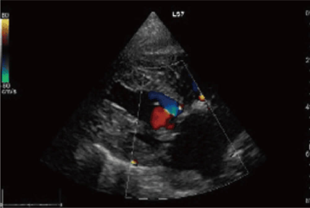
手術後


右図は僧帽弁形成術術後の画像で弁尖の位置が正常化し,前尖・後尖の良好な接合が得られたことで逆流が消失しています。
手術実施前のインフォームについて
当院では手術前に執刀医もしくは担当医からインフォームコンセント(IC)を行います。ICでは私たちから、病状や手術内容、手術による合併症発生の可能性などを説明し、手術の最終的な決定を飼い主様と行います。我々は、飼い主様の自己決定権の尊重を重視していますので、ICは手術実施の重要なプロセスと考えています。
当院では手術が適しているかどうかを丁寧にご説明したうえで、ご家族さまとその子にとって最善の治療方法を一緒に考えます。セカンドオピニオンとしてのご相談も受けています。 僧帽弁閉鎖不全症は適切な治療によって生活の質を大きく改善できる病気です。
ぜひ一度ご相談ください。

